10 mẹo đẹp "từ chân lên đầu" tại nhà cực hiệu quả
Cập nhật
09:29 , 24/11/2015
Những phương pháp làm đẹp tại nhà luôn được phái nữ yêu thích vì tiết kiệm thời gian, chi phí, hiệu quả cao và nhiều lợi ích không tên khác. Với nguồn thông tin phong phú như ngày nay, chị em hoàn toàn có thể tự tút tát cho dáng vẻ của mình với nhiều phương thức làm đẹp đơn giản. 10 mẹo làm đẹp tại nhà sau đây chính là những phương pháp tiêu biểu có thể mang đến hiệu quả bất ngờ cho chị em phụ nữ.
1. Trị mụn bằng bột baking soda
Bột baking soda có thể giảm thiểu đáng kể lượng nhờn và làm sạch da dầu từ sâu bên trong. Hòa bột với một chút nước trong bát, sau đó dùng bàn chải đánh răng sợi mềm thoa hỗn hợp lên da theo đường tròn. Cách làm này sẽ giúp bạn “dọn sạch” các đốm mụn đáng ghét trên da.

2. Giảm mỡ bắp tay bằng nilon
Nếu bạn đang muốn làm cho bắp tay mình trông thon gọn hơn, hãy thử phương pháp giảm mỡ bắp tay bằng cách quấn bao nilon. Trước khi quấn, thoa một lớp kem hoặc dầu dưỡng thể lên vùng da tay để tránh bị ngứa da do quấn bao. Bắt đầu quấn bao nilon quanh bắp tay và để nguyên trong 45 phút. Rửa sạch da với nước ấm và xà phòng rồi bổ sung kem dưỡng ẩm sau khi bỏ lớp bao quấn. Bạn sẽ có được làn da mềm mại, bóng mượt hơn.

3. Tẩy da chết bằng bột ngô và mật ong
Hòa 1 thìa lớn bột ngô với 1 thìa nhỏ mật ong rồi dùng hỗn hợp mát xa đều trên da mặt. Rửa sạch mặt bằng nước ấm sau khi mát xa. Bột ngô sẽ tẩy sạch lớp da chết và cung cấp vỏ bọc tự nhiên cho da trong khi mật ong đóng vai trò như một lớp kem dưỡng cho da.

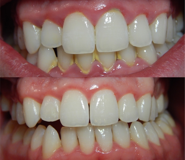
4. Tự lấy cao răng tại nhà bằng vỏ quả hạch
Luộc kĩ 40g vỏ quả hạch với 300ml nước trong khoảng 20 phút rồi chắt bỏ nước. Nhúng bàn chải đánh răng mềm vào hỗn hợp và chải răng trong 5 phút. Thực hiện phương pháp này 3 lần/ngày trong 2 tuần để loại bỏ cao răng hoàn toàn.

5. Chữa nứt gót chân bằng mật ong, bơ và chuối
Bạn có thể chữa nứt gót chân bằng hai cách: mật ong hoặc hỗn hợp bơ chuối. Với cách 1, bạn hòa 250g mật ong với 2 – 2,5ml nước rồi ngâm chân vào hỗn hợp trong 20 phút. Với cách 2, bạn trộn một nửa quả bơ với một quả chuối rồi đắp lên gót chân trong 15-20 phút. Rửa sạch bằng nước ấm sau khi đắp xong.

6. Chữa móng tay dễ khô gãy bằng bia, sữa và nước chanh
Có 3 cách giúp bạn khắc phục móng tay dễ khô gãy ngay tại nhà:
- Cách 1: Đun nóng ít dầu olive cho đến khi dầu hơi ấm, khuấy dầu ấm với bia và giấm táo rồi ngâm móng vào hỗn hợp trong 15 phút. Thực hiện 2 lần/tuần.
- Cách 2: Ngâm ngón tay trong sữa ấm trong khoảng 5-10 phút. Bạn sẽ có móng tay trắng khỏe trong phút chốc.

7. Thay đổi thói quen gội cho mái tóc mỏng
Với những mái tóc mỏng, việc “đảo lộn” các bước gội đầu có thể giúp bạn khắc phục tình trạng xơ xác của mái tóc một cách nhanh chóng. Khi bắt đầu gội, bạn nên dùng dầu xả trước, để lớp dầu thấm đều vào tóc trong ít phút rồi mới sử dụng dầu gội để làm sạch. Bạn sẽ thấy được hiệu quả bất ngờ của cách làm sáng tạo này.

8. Xoa dịu vết suy giãn tĩnh mạch bằng tinh dầu bạc hà và hương thảo
Kết hợp thoa tinh dầu bạc hà và hương thảo lên những đường mạch giãn to dưới da sẽ giúp bạn cải thiện hoạt động tuần hoàn cho đôi chân, thư giãn cơ và giảm thiểu sự mệt mỏi và độ sưng tấy cho đôi chân.

9. Xử lý đốm da tối màu bằng hạt sơ ri
Chuẩn bị 50g hạt quả sơ ri, tách bỏ vỏ và xay phần nhân bên trong. Hòa lớp bột vừa xay với 200ml dầu olive, khuấy đều và để nguyên hỗn hợp trong 14 ngày ở nơi không có ánh sáng. Sau khoảng thời gian trên, bạn chắt hỗn hợp lấy nước và cho vào chai, bảo quản ở nhiệt độ phòng. Lấy vài giọt mỗi lần dùng và đắp lên vùng da tối trước khi đi ngủ. Bạn sẽ nhận thấy sự khác biệt sau 30 ngày.

10. Chữa chắp mắt bằng nước muối
Hòa 2 thìa muối với 1 lít nước, để lạnh một chút rồi nhúng khăn bông sạch vào, đắp khăn lên chắp mắt trong khoảng 20 phút. Thực hiện phương pháp này vào buổi sáng và buổi tối cho đến khi lành hẳn.

T


